Stem Cell Therapy
We combine innovative stem cell therapy with advanced diagnostics to restore your health and help you thrive—today and into the future.
Advanced IV therapy, precisely designed to restore your body’s
balance and accelerate recovery.
We provide new hope for those looking to enhance their health and well-being by integrating cutting-edge technology.
About Stem Cell Therapy
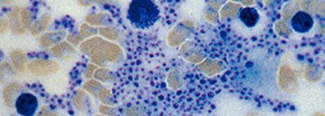
Stem cell therapy is an advanced regenerative treatment that restores damaged tissues by renewing old cells through the bloodstream. By targeting aging itself—not just age-related diseases—it helps slow or even reverse the aging process. As modern research increasingly identifies aging as the root cause of most chronic conditions, our goal is to restore long-term health and youthfulness, empowering you to live a healthier and more vibrant life.


ABOUT STEM CELL
Stem cell therapy is a regenerative treatment that rejuvenates aging cells and repairs damaged tissues by working through the bloodstream. Rather than simply addressing symptoms, it targets the biological aging process itself—slowing or even reversing its effects. With a growing body of research linking aging to chronic disease, our approach focuses on long-term health, vitality, and a better quality of life.

Medical-Grade Stemcell in Seoul, Korea
Gangnam Smart Clinic is a leader in stem cell therapy, offering innovative,
science-driven treatments designed to restore vitality and slow the aging process at the cellular level.
“Pioneers in personalized, advanced stem cell therapy.”
Cutting-Edge
Stem Cell Therapy
Gangnam Smart Clinic is a leader in stem cell therapy, offering innovative, science-driven treatments designed to restore vitality and slow the aging process at the cellular level.

“Pioneers in personalized, advanced stem cell therapy.”
Tissue Regeneration
Aids in the regeneration of damaged tissues, including cartilage, muscles, nerves, and skin, helping to restore function and promote healing.
Accelerated Healing
Enhances the body’s natural healing process, leading to faster recovery following injury or surgery.

GSC Stem Cell Therapy
Anti-Aging
Improves skin texture, elasticity, and promotes overall rejuvenation for a more youthful appearance.
Enhance Immune Function
Stem cells can modulate the immune system, reduce chronic inflammation, and support a balanced, resilient immune response, contributing to overall health and wellness.
Tissue Regeneration
Aids in the regeneration of damaged tissues, including cartilage, muscles, nerves, and skin, helping to restore function and promote healing.
Anti-Aging
Improves skin texture, elasticity, and promotes overall rejuvenation for a more youthful appearance.

GSC Stem Cell Therapy
Accelerated Healing
Enhances the body’s natural healing process, leading to faster recovery following injury or surgery.
Enhance Immune Function
Stem cells can modulate the immune system, reduce chronic inflammation, and support a balanced, resilient immune response, contributing to overall health and wellness.
Stem Cell Boost

Personalized treatments to enhance stem cell activity and restore internal balance.
Personalized treatments to enhance
stem cell activity and restore internal balance.
stem cell activity and restore internal balance.

GSC Diagnositic Test
Advanced hospital-grade
technology enables personalized
treatments through autonomic
nervous system insights.

GSC Stem Cell Therapy VS General PRP
GSC Stem Cell Therapy

GSC Stem Cell Therapy
4 to 6x more stem cells
A high survival rate of 80-98%
Stable CLOSED SYSTEM
Rich
VS
Standard
Concentration
Survival Rate
Stability
Stem cells
General PRP

General PRP
Only the platelet count doubled
A survival rate reaching 50%
OPEN SYSTEM
Insufficient
